Este Fin de Semana Se Llevará A Cabo La Corrida Nocturna...
La Seremi del Deporte y el Instituto Nacional de Deportes (IND) anuncian la Corrida Nocturna Verano Villarrica 2024, un evento que promete encender la...
Festival Aéreo Villarrica 2024: Miles De Asistentes Junto Con Destacado Piloto...
Un colorido y espectacular desarrollo, tuvo durante cuatro días, el Festival Aéreo en su versión 17 Villarrica 2024, actividad realizada en el Aeródromo villarrense,...
Detienen A Hombre Por Homicidio Frustrado En Gorbea
El pasado domingo 21 de enero, alrededor de las 07:00 horas aproximadamente, una persona sexo masculino de 18 años de iniciales C. A. I,...
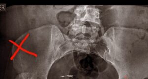
Venden rifa para costear operación de Endoprotesis total de cadera
Se encuentra en lista de espera por no cumplir edad mínima en el Auge
Evelyn Moncada Gutiérrez es una mujer de 37 años de la...
Inauguran Moderna Iluminación Del Puente Colgante Eduardo Frei Montalva En Carahue
El proyecto, gestionado por la Municipalidad de Carahue, y financiado por el Gobierno Regional de La Araucanía, da vida a uno de los más...
Realizan Lanzamiento De La Ley Karin En La Araucanía
El día de ayer se llevó a cabo el lanzamiento de la Ley Karin, promulgado el pasado 15 de enero en el diario oficial,...
Damnificadas De Incendios Forestales Recibieron Sus Títulos De Dominio En Emotivo...
Hasta Cholchol se trasladó el subsecretario de la cartera, Sebastián Vergara Tapia, junto a la Seremi Ámbar Castro Martínez, para entregar sus documentos a...
Angol se incorpora a la Atención Primaria Universal de Salud
Con la selección de la capital de la provincia de Malleco, La Araucanía es una de las tres regiones que cuentan con dos comunas...
Carabineros Desbarata Banda De Tráfico De Drogas Que Operaba En La...
El Líder Era Un Reo De La Cárcel De Temuco
En las últimas horas, Carabineros de la Sección OS-7 Araucanía junto a la fiscalía de...
$55 Mil Millones De Pesos Se Invertirán En Materia De Salud...
Construirán un nuevo Hospital, Cesfam en sector suroriente y Posta de Salud Rural en Copihuelpe.
Así lo confirmó el Alcalde Alexis Pineda Ruiz, quien recibió...




































